近日,意大利贵宾会会员中心神经外科一病房团队和心内科团队强强联合,成功为一位同时患有脑血管病和心血管病的患者完成了经桡动脉心脑血管联合造影术。
54岁的张先生,右冠脉支架术后16个月,9个月前因急性脑梗死致言语不能、左侧肢体活动不灵,检查发现双侧颈内动脉狭窄,愈后遗留言语笨拙,7个月前因左侧肢体活动不灵行右侧颈内动脉重度狭窄支架成型术;左侧颈内动脉仍狭窄为求手术治疗,来到我院,收住神经外科一病房。
临床诊断为:
1.左颈内动脉狭窄;
2.右侧颈内动脉支架术后;
3.右冠脉支架术后
患者既往病史情况复杂,需要进一步行心、脑血管造影检查,以便对病情全面准确的评估。
那么问题来了
脑血管需要造影
心血管也需要造影
难道要做两次介入手术?
面对这种“多病共存”的情况
我们应该怎么办?
针对患者的特殊情况,为了给患者减轻痛苦,降低经济负担,赵德强主任联系心内科多次会诊,大胆提出了“经桡动脉一个入口,心脑血管同时造影”的手术方案。这是一个国内领先的手术方法,即“心脑同介”。
什么是心脑同介呢?
就是针对心、脑血管同时出现问题的患者,通过一次造影手术来观察心、脑两部分的血管问题,即见心病兼治疗脑,见脑病兼顾心,以同时减轻心、脑的病理损害,达到最佳的治疗效果。
经过多次充分讨论,最后两科室达成一致意见:联手完成心脑血管造影术,一次性完成心脑血管评估。张先生一家对此方案也欣然接受。
通过一次介入手术
完成两项造影检查
7月27日,患者“经桡动脉心脑血管同时造影术”在导管室进行。术中,神经外科一病房团队首先进行脑血管造影,心内科团队随后完成心血管造影。

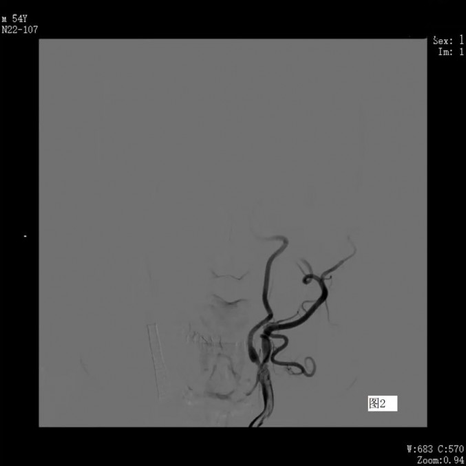
经右侧桡动脉造影管顺利进入左侧颈总动脉

左侧颈内动脉开口处仍重度狭窄

右侧颈内动脉造影见支架术后血管通畅良好(图3)

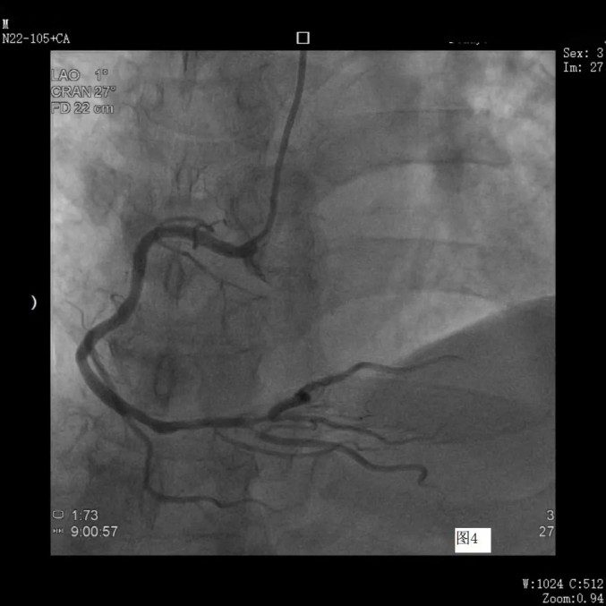
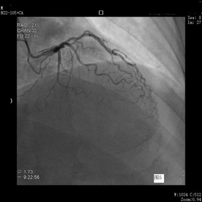
冠脉造影见右冠支架术后良好

左侧冠脉与上次狭窄程度无变化
两个手术先后实施,用时不到一个小时,为下一步治疗指明了方向。由于手术只是在手腕处穿刺一个小口,张先生感觉跟平常静脉输液无异,可自由下床活动,也无其他不良反应,一家人对此次手术非常满意,称赞这次造影真是“一举两得”。
多年来,神经外科一病房赵德强主任一直紧跟国内学术前沿,推崇“心脑同治”。此次经桡动脉心脑血管联合造影,充分发挥技术优势,完美解决了心脑血管同时检查的难题,不但降低了患者的治疗费用,减轻了患者的痛苦,也为同时患有心脑血管疾病的患者开启了一体化诊疗新模式,彰显了我院医疗介入团队救治能力的全面提升。
供稿 | 神经外科一病房 王聪
编辑 | 宣传科 韩晶 高建春



