“我又活过来啦!”这是80岁的王大爷取栓术后醒来说的第一句话。两个女儿看着清醒过来的父亲激动不已,连声对赵德强主任说“谢谢你们又把我爸救了回来,谢谢!”这是患者与家属对神外一全体医护人员的肯定与感激,它承载着一段不为人知的温暖故事。
事情要从两年前说起。2021年8月1日,王大爷因为急性脑栓塞、左侧颈内动脉闭塞收入神经外科一病房治疗。由于情况紧急,赵德强主任团队立即为其进行了取栓手术。

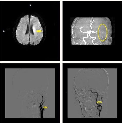
手术非常成功,王大爷恢复良好,顺利回归正常生活。2023年2月1日,王大爷因房颤导致栓子脱落造成脑栓塞再次入院治疗,据家属描述老人未遵医嘱自行停服抗凝药物已达半年。由于栓塞面积大,而且位置靠近重要功能区,这给手术带来了极大的风险和难度。

情况危急,赵主任与团队反复研究并征得家属同意后,立即进行手术治疗。当日13:00王大爷在全麻下行急诊支架取栓手术,13:54取栓手术成功。术中取出大量栓子, 基底动脉恢复畅通。


术后2小时老人恢复清醒,第二天拔出气管插管,转危为安。现在的王大爷神志清醒,问答合理,四肢活动自如,每次看到为他做了两次取栓手术的赵主任都感动不已!
在此,赵德强主任提醒广大患者如果有脑栓塞的风险一定要遵医嘱服用抗凝药,自己才是自己最好的健康管理者。
科普:房颤患者口服抗凝药知多少
房颤患者发生血栓栓塞事件的风险是非常高的。这主要因为房颤患者心跳不协调,血栓就会随着血液循环在全身游走,一旦栓子进入颅脑,就会引起脑栓塞致脑梗死。而抗凝药物恰巧可以从源头上阻止血液凝固而防止栓子形成,这就好比一根水管,如果里面有垃圾直径再粗早晚都会堵塞,如果没有垃圾再细也会畅通无阻,所以抗凝药真正从源头解决了“水管里垃圾的问题”,做到了无栓不堵。
供稿 | 神经外科一病房 王聪
编辑 | 宣传科 韩晶 高建春
    


      